Более 20 лет на страже вашего здоровья и красоты зубов
Профессионально. С любовью.
О нас
Главный врач клиники руководствуется в профессии принципами:
Понимать, что нет предела совершенству
При первом знакомстве с пациентом необходимо понять, с каким именно запросом он пришёл к врачу. И важно на понятном для него языке объяснить существующие проблемы, дать обратную связь на его запрос.
Любую работу делать с любовью
Стоматология — это мануальный труд. В ходе работы ты вкладываешь не только знания и опыт, но и энергию любви, с который ты делаешь эту работу.
Умение слушать и слышать пациента
В современном мире очень высокая скорость жизни. На смену одним технологиям приходят другие. И именно это направляет доктора к постоянному совершенствованию своих навыков и знаний.
Почему к нам?
В нашей клинике вам всегда рады.
Тщательная диагностика и коллегиальный осмотр врачей позволяют узнать историю заболевания, определить причину, сформировать комплексный план лечения, в доступной форме вам его донести, разъяснить и показать будущие результаты
У нас безболезненное лечение зубов: мы используем вначале местную аппликационную анестезию в месте скола иглы, а затем проводим уже основную анестезию
У нас ведется электронная история болезни пациента, что позволяет сохранить все нюансы лечения, даже если произошла смена лечащего врача
Стоматолог-терапевт, хирург Кандидат медицинских наук
Опыт работы
Более 23 лет
Образование
Минский ордена Трудового Красного Знамени медицинский институт
Алтайский государственный медицинский университет (степень кандидата наук)
Биография
После окончания стоматологического факультета Минского медицинского института долгое время работала в практическом здравоохранении. Увлеченность эстетикой зубов подстегивала участвовать в семинарах, конференциях, мастер-классах. Квинтэссенцией труда и знаний стала защита кандидатской диссертации и восхищённые глаза пациентов.
Евдокимов Юрий Ильич
Стоматолог-ортопед, имплантолог
Более 15 лет
Образование
Нижегородская государственная медицинская академия Министерства здравоохранения Российской Федерации
Клиническая ординатура при ГУ «Нижегородская государственная медицинская академия»
Сертификат по ортопедической стоматологии Приволжский исследовательский медицинский университет (2019 г.)
Сертификат по хирургической стоматологии Приволжский исследовательский медицинский университет (2018 г.)
Опыт работы
Ведущий специалист
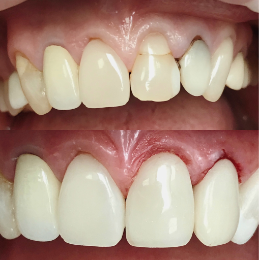
Примеры работ
Отзывы
Наталия Анатольевна Жук доктор, который подарил мне - улыбку. Огромное спасибо за полное восстановление формы, внешних признаков, а так же функциональных возможностей передних верхних зубов, то есть реставрацию.Чуткое, внимательное, я бы сказала трепетное, отношение к пациенту, на всех этапах лечения. Знает и любит свое дело. Тактичный врач. Спасибо за прекрасно проведенное лечение.
Иван М.
Хочу поблагодарить замечательного доктора Наталию Анатольевну Жук. Очень рада, что наконец-то встретила очень внимательного и очень профессионального специалиста. Жалею только, что встреча произошла сейчас, а не раньше. Могла бы сохранить свои зубы в лучшем состоянии. Я человек возрастной и для меня это особенно важно. Наталия Анатольевна полностью привела в порядок мои зубы. Каждый был тщательно пролечен, но мало того, форма, цвет, все идеально проработаны. Эстетика каждого зуба на очень высоком уровне! В заключении, мне были даны подробнейшие рекомендации по уходу, с учетом моих особенностей. Бузумно рада, что встретила своего доктора!
Нина Г.
Если у Вас был травматический детский опыт общения с советской стоматологией, и мысль о походе к стоматологу до сих пор вызывает у Вас тревогу, рекомендую своего любимого доктора Наталию Анатольевну, врача от Бога. Это тот редкий случай, когда профессионализм и золотые руки сочетаются с душевностью, чуткостью и умением слышать пациента. Каждый раз покидаю кабинет не только с ухоженной улыбкой , но и с хорошим настроением.
Екатерина И.
Замечательная клиника с тёплой , душевной атмосферой. Наталья Анатольевна - врач, к которому попав однажды, остаёшься навсегда. Она-огромный профессионал своего дела и очень чуткий и душевный человек. Спасибо большое ей и всему коллективу клиники!!!
Ирина Б.
Еще в 2017 году, по рекомендациям знакомых, впервые обратилась к Наталье Анатольевне Жук, высокопрофессиональному стоматологу, нацеленному в первую очередь на сохранение зубов и наилучшего решения стоматологических проблем пациента. Страх перед лечением проходит с первого раза, манипуляции волшебных рук Натальи Анатольевны настолько умелы, что можно задремать в процессе лечения) Результатом более чем довольна, т.к. врач умеет многое из того, чем не владеют другие стоматологи. Отыскали ее уже в новой клинике, т.к. и мысли нет пробовать лечиться у кого либо другого. Повстречать такого врача, как Жук Н.А. уже редкая удача!
Валентина Е.
Не могу не поделиться впечатлениями от посещения врача. Наталия Анатольевна - доктор, каких сейчас искать, не найдёшь. Чуткая, внимательная.. Профессионал своего дела и просто человек с большим Сердцем! Спасибо Вам большое! Теперь мы семьёй только у Вас
Анастасия Е.
Хочу поблагодарить самого лучшего доктора Наталью Анатольевну за профессионализм и золотые руки!!! Лучшего подхода в решении проблем лечения зубов я не встречала! Огромное Вам спасибо!!! Рекомендую всем!!!